Nummer: 20368

Name: Shanya

Geschlecht: weiblich, kastriert

Alter: geb. ca. 06. Mai 2018

Größe: SH ca. 48 cm 

Shanya wurde von einem Auto angefahren und lag dann zwei Tage verletzt im Straßengraben, ehe sich jemand erbarmt hat und Grig um Hilfe bat.

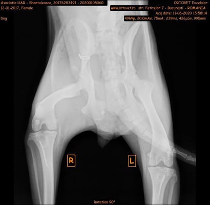
Sie wird voraussichtlich zwei Operationen brauchen, eine davon am Becken, die sehr kompliziert ist. Die Kosten hierfür liegen bei 1500,- Lei = 300,- Euro. Wenn das alles gut überstanden ist, wird sie wahrscheinlich irgendwann eine weitere OP benötigen, um die Metallimplantate wieder zu entfernen. All das kostet leider eine Menge Geld.

Shanya würde sich sehr über ein liebevolles Zuhause, aber auch über Paten freuen, die helfen, die Kosten für die benötigten Operationen und die medizinische Versorgung zu decken.

 

Update vom 17.12.2020:
Danke liebe Grig!
Sie hat sich gestern das erste Mal mit mir im Zimmer bewegt, sie wird jeden Tag mutiger und interagiert immer mehr mit Moya.

 

Infoupdate vom 24.04.2021:
Danke liebe Julia!
Shanya ist leider wirklich sehr sehr ängstlich, ich würde schon sagen traumatisiert. Auf den Bildern sieht man ihre Haltung, sobald sie einen Menschen sieht. Sie geht nicht mal in den Hof, nur wenn man sie raus zwingt und dann rennt sie nur panisch umher und will sofort wieder rein :-( Sie muss Schlimmes erlebt haben und muss wirklich zu sehr sehr einfühlsamen und Menschen mit Angsthunderfahrung und natürlich Geduld! Ich würde sie nicht zu Kindern vermitteln. Sie ist kein Hund, der bisher aus Angst irgendwie nach vorne gegangen ist, immer nach hinten. Ein souveräner Ersthund wäre sehr wichtig! Ich denke, ohne wird es deutlich schwieriger, an sie heranzukommen.


Shanya was hit by a car and then lay injured in a ditch for two days before someone showed mercy and asked Grig for help.

She will probably need two surgeries, one of them on the pelvis, which is very complicated. The costs for this are 1500,- Lei = 300,- Euro. If all this is well done, she will probably need another surgery sometime to remove the metal implants again. All this unfortunately costs a lot of money.

Shanya would be very happy about a loving home, but also about godparents who help to cover the costs for the necessary surgeries and medical care.

 

Update 17.12.2020:
Thank you dear Grig!
She moved with me in the room for the first time yesterday, she is getting braver every day and she interacts more and more with Moya.

 

Infoupdate from 24.04.2021:
Thank you dear Julia!
Shanya is unfortunately really very very fearful, I would already say traumatized. On the pictures you can see her attitude as soon as she sees a human. She doesn't even go in the yard, only if you force her out and then she just runs around panicking and wants to go back in immediately :-( She must have experienced bad things and really needs to go to very very sensitive and people with fear dog experience and of course patience! I would not place her with children. She is not a dog that has somehow gone to the front out of fear, always to the back. A sovereign first dog would be very important! I think without it will be much more difficult to get to her.

Sie wollen helfen? Mit einer ...

Sie wollen dieses Tier adoptieren? Dann füllen Sie bitte dieses Formular aus.

Mit einer Patenschaft helfen Sie, damit wir die Tiere versorgen können.

Hier finden Sie einen Überblick, wie auch Sie uns helfen können.


Oder schauen Sie in unserem virtuellen Spendenshop vorbei: